
神秘高热,病情疑团 来自汕尾的叶老太今年74岁,患有多年糖尿病,平时使用大剂量胰岛素注射,但血糖控制依然不理想。据家属介绍,叶老太在清明节拜山以后莫名出现高热,每天天黑后开始感到寒冷并全身颤抖,夜里体温持续升高,最高达到41℃左右,同时出现不思饮食、血糖升高的症状,且每天夜里全身颤抖越来越厉害了。
家属带着叶老太在当地多家医院求医,却一直无法找到病因。即使外院用强力抗菌药物治疗,叶老太的体温和颤抖还是如期而至。在病情反复和医治无效的情况下,子女多方打听及联系,决定到我院找内分泌科主任金文胜教授看病。
抽丝剥茧,找到病根
患者入院后,根据病情积极完善相关检查,金文胜教授认真询问病情发展过程,组织内分泌科王龙清副主任医师,周见昕副主任医师,何德奇、李苹与徐方芳主治医师讨论病情,初步诊断为肾脓肿感染。
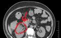
然而,外院及我院常规超声影像检查均没有查出相应病灶,且经过广谱抗生素泰能药物抗感染后患者仍反复发热。面对这种情况,金文胜教授当即决定行腹部CT增强扫描,果然在右肾下极腹侧靠近内侧的皮质包膜下有可疑蜂窝状并囊性感染灶,这个位置的脓肿非常罕见,也是超声检查的死角。
高超技术,一针见脓
由于药物抗感染治疗效果甚微,金文胜教授决定选择脓肿穿刺治疗。在与家属说明肾脓肿穿刺引流的必要性并取得家属同意后,金文胜教授立即与肾内科主任张虹、超声科主任王莎莎沟通病情,当日即安排肾脓肿穿刺引流术,并请王莎莎主任主持操作。
但是,脓肿位置非常罕见,穿刺难度非常大:
①从常规穿刺点后腰部进入,则会对肾脏造成较大损伤并有造成感染扩散的风险。
②从前面或者侧面穿刺,不仅患者的呼吸运动和腹壁会严重干扰穿刺,而且容易伤及肝脏血管。
③病灶内部分隔成蜂窝状,能否一次穿刺成功并彻底引流?
面对穿刺的种种难题,超声科主任王莎莎用高超的操作技术一针穿刺,立即见脓,顺利排出患者体内脓液。患者术中术后无疼痛及出血,术后当晚就没有再出现高热和颤抖。治疗效果让患者和家属十分满意,大赞前海人寿广州总医院技术高、实力强,能治好病,为病人解除痛苦。
目前,叶老太体温血糖平稳,各项生理指标正常,又恢复了往日平静健康的生活。本次脓肿穿刺工作的成功开展,彰显了我院雄厚的综合实力,在多科室的团队配合下,才能更好地服务患者,不断提升医院医疗救治水平,为保障百姓健康作出更大的贡献。
前海人寿广州总医院内分泌科
前海人寿广州总医院内分泌代谢科目前拥有普通床位40张、监护床位2张、VIP床位10张。开设三套对外门诊:专家常门诊和普通门诊各一套。另有下丘脑垂体、痛风肥胖、糖尿病、甲状腺、儿童内分泌、性腺内分泌等五个专病门诊。医务人员均有在国内知名三甲医院学习、从业和进修的经历,拥有高超的专业实力和良好的服务精神。
主要临床研究方向为下丘脑垂体疾病、绝经相关的甲状旁腺功能亢进和基因相关的内分泌疾病。科室的专业特色为:糖尿病的综合管理、垂体瘤、甲状腺结节和内分泌性眼病的诊治、儿童生长发育、痛风、性腺疾病、内分泌代谢罕少见疾病等的诊疗。诊治范围包括:糖尿病及胰岛疾病;甲状腺疾病;肾上腺疾病;下丘脑垂体疾病;肥胖痛风及血脂紊乱;儿童及青春期内分泌异常;性腺及相关内分泌疾病;甲状旁腺和钙磷代谢及相关骨病;急慢性电解质紊乱;营养相关性疾病;遗传性内分泌代谢疾病等。
科室建立了“代谢与糖尿病中心”,附设“院内血糖管理”、“糖尿病教育”、“院外糖尿病随访管理”、“糖尿病相关伤口”等4个平台。科室配置美敦力实时血糖监测和胰岛素注射联合系统一套、进口动态血糖仪5台、进口和国产胰岛素泵各5台、雅培扫描式血糖检测系统2套、强生院内血糖管理系统1套;拥有全套糖尿病并发症筛查设备:足部感觉、皮温、末梢血流检测仪,周围神经病变检测仪,四肢多普勒血流检测仪,免散瞳眼底照相仪,动脉硬化检测仪,内脏脂肪检测仪等。借助医院层面的诸多先进设备,能够为各种复杂内分泌疾病的高水平诊治提供完善的保障,具备国内一流内分泌学科的全部软硬件条件。
前海人寿广州总医院超声科
超声诊断科是前海人寿广州总医院重点打造的现代化、信息化、智能化医技科室,是集诊疗、科研、保健为一体的综合性超声学科。
专家团队由原国内大型三甲综合医院主任医师领衔,多位国内知名医科大学硕士、博士组成,具有丰富的临床经验及先进的诊疗技术。目前科室设有四大诊区;门诊超声主诊区、妇产超声诊区、体检超声诊区及介入超声诊区,拥有GE、PHILIPS、日立、迈瑞等多台国内外先进高端彩色多普勒超声设备,可全面开展腹部、妇产、浅表器官、心血管、脑血管、肌骨、儿科等常规超声、超声造影及介入超声诊疗技术。科室拥有多项特色技术,其中包括胎儿产前三维、四维超声筛查、超声造影、三维超声盆底功能评估、经食道心脏超声、介入性超声等,尤其在三维、四维子宫输卵管超声造影、盆底功能评估、不孕症子宫内膜容受性、卵巢功能超声评估以及肿瘤介入性超声诊疗技术等方面达国内外先进水平。
前海人寿广州总医院位于广州市增城区新城大道,是一家集医疗、预防、康复、科研、教学为一体的三级综合医院。医院总占地面积9.8万平方米,建筑面积47万平方米,规划病床1800张,其中包括门诊楼、医技楼和住院楼,设置临床科室40余个,医技相关科室11个,可开设门诊诊室84间,住院病区18个。
医疗设备方面,医院按照国内一流、国际知名的现代化综合型医院的定位,在“三级综合医院”配置基础上,引进了肿瘤质子治疗系统、磁波刀系统、640层螺旋CT、3.0T静音磁共振诊断仪等一批国际医疗前沿的尖端医疗设备。
500平方米健康管理中心,配备完善的体检设备及功能区,提供一对一个性化VIP服务;3000平方米影像中心,配备东芝超高端CT、3.0T核磁共振、1.5T核磁共振等大型影像设备,计划开设质子医学治疗中心,为患者提供最先进的检测技术。
前海人寿广州总医院围绕重点打造的神经医学中心、腹部重症中心、消化道瘘中心、心血管医学中心、睡眠医学中心、子宫肌瘤治疗中心、康复医学中心,广纳国内权威专家和优秀骨干等各类专业领军人才,组建顶尖医疗核心团队。
目前,医院已形成了以名誉院长汪建平教授为首的医疗核心团队,团队共拥有学科带头人30人,其中博士生导师9人,硕士生导师10余人。
团队成员均来自中山大学、南方医科大学各大附属医院及南部战区总医院等多家知名综合性三甲医院,由国家临床重点专科带头人和业务骨干组成。团队的专业技术能力整体达到国内领先水平,获得国务院特殊津贴、全国卫生文明建设先进工作者、科技进步奖等各项荣誉,在本专业领域建树颇丰,知名度高。
前段时间,前海人寿广州总医院正式纳入增城区120网络医院,标志着医院将承担增城区及周边人口的急诊急救任务、突发公共卫生事件的应急响应和大型医疗保障任务。
为了患者能更快接受治疗,前海人寿广州总医院还配备航空救援,以高科技为患者的健康服务“保驾护航”。
目前,前海人寿广州总医院已成为广州市社会保险定点医疗机构,各位市民到院看病住院都可刷医保卡结算。为提高大家的就医体验,专门引入“互联网+智慧医院”建设,实现各系统互通互联、提供高效便捷的一体化预约挂号、就诊等信息服务,市民也可通过医院微信公众号或电话等形式进行预约挂号。现推出免挂号费优惠,5月1日至7月31日期间,来院就诊者门诊、急诊均免收挂号费(特需VIP门诊除外)。
免责声明:市场有风险,选择需谨慎!此文仅供参考,不作买卖依据。
“特别声明:以上作品内容(包括在内的视频、图片或音频)为凤凰网旗下自媒体平台“大风号”用户上传并发布,本平台仅提供信息存储空间服务。
Notice: The content above (including the videos, pictures and audios if any) is uploaded and posted by the user of Dafeng Hao, which is a social media platform and merely provides information storage space services.”